Déroulement de l'échographie



Qui peut pratiquer les échographies?
Les sages-femmes -profession médicale-sont habilitées (au même titre que les médecins radiologues ou gynécologues-obstétriciens) et spécialisées dans la pratique de toutes les échographies de dépistage durant la grossesse. Cette pratique est conditionnée par l'obtention d'un diplôme universitaire de spécialisation en échographie obstétricale et gynécologique.
Déroulement de l'échographie
L'examen échographique comporte trois temps essentiels à votre prise en charge:
- la prise de connaissance de votre dossier médical: ces éléments permettront au mieux d'orienter votre examen échographique.Il est important de nous notifier toute information médicale antérieure ou actuelle, personnelle ou familiale
- l' échographique: moment privilégié pour voir votre bébé et vous rassurer sur le bon déroulement de votre grossesse . Chaque examen échographique respecte les recommandations des sociétés savantes françaises (CFEF - HAS - CNGOF - CNOSF)
- le compte-rendu de l'examen et la réponse aux questions que vous avez posées! Vous repartirez avec un livret relié comportant le compte-rendu ainsi que toutes les photos faites pendant l'examen. Amenez le à chaque fois, nous le complèterons à chaque examen. C'est aussi ce document qui fera le lien avec les autres profesionnels qui suivent votre grossesse
L'échographie est une technique d'imagerie par ultrasons absolument sans danger pour votre bébé et pour vous.
Une sonde est posée sur votre ventre après application d'un gel qui facilite l'émission et la réception des ultrasons, permettant ainsi d'étudier l'anatomie de votre bébé, ses dimensions, le liquide amniotique, le placenta...
Pendant l'examen, vous serez allongée dans une pièce sombre pour faciliter la lecture des images, équipée d'un paravent pour le respect de votre intimité. Un écran de rappel vous permettra de bien profitez de votre bébé en temps réel.
Dans certaines situations, une échographie endo-vaginale peut vous être proposée (sonde adaptée introduite dans le vagin) afin de mieux visualiser certaines parties du foetus , du col ,de l'utérus ou des ovaires. Cette échographie indolore est réalisée toute en douceur.
Le durée totale de l'examen est variable en fonction du type d'échographie: en moyenne 30 min pour une échographie gynécologique et entre 45 min à 1 heure pour les échographies obstéticales afin de profiter de ce moment privilégié avec votre bébé.
But de l'examen
C'EST UN EXAMEN MEDICAL.
Chaque échographie a donc des objectifs bien précis en fonction de la période de gestation ou de votre état de santé.
Trois échographies seulement sont recommandées pendant la grossesse: celle du 1er , du 2ème et du 3ème trimestre. Mais d'autres pourront vous être prescrites en fonction de votre état de santé ou du déroulement de votre grossesse.
L'échographie ne détecte pas toutes les anomalies et toutes les malformations fœtales. L'examen peut de plus être de réalisation technique difficile en particulier en cas d'obésité importante.
En cas de doute, il est parfois nécessaire de vous orienter vers un centre de référence : le Centre Pluridisciplinaire de Diagnostic PréNatal (CPDPN) à Montpellier pour plus d'investigations.



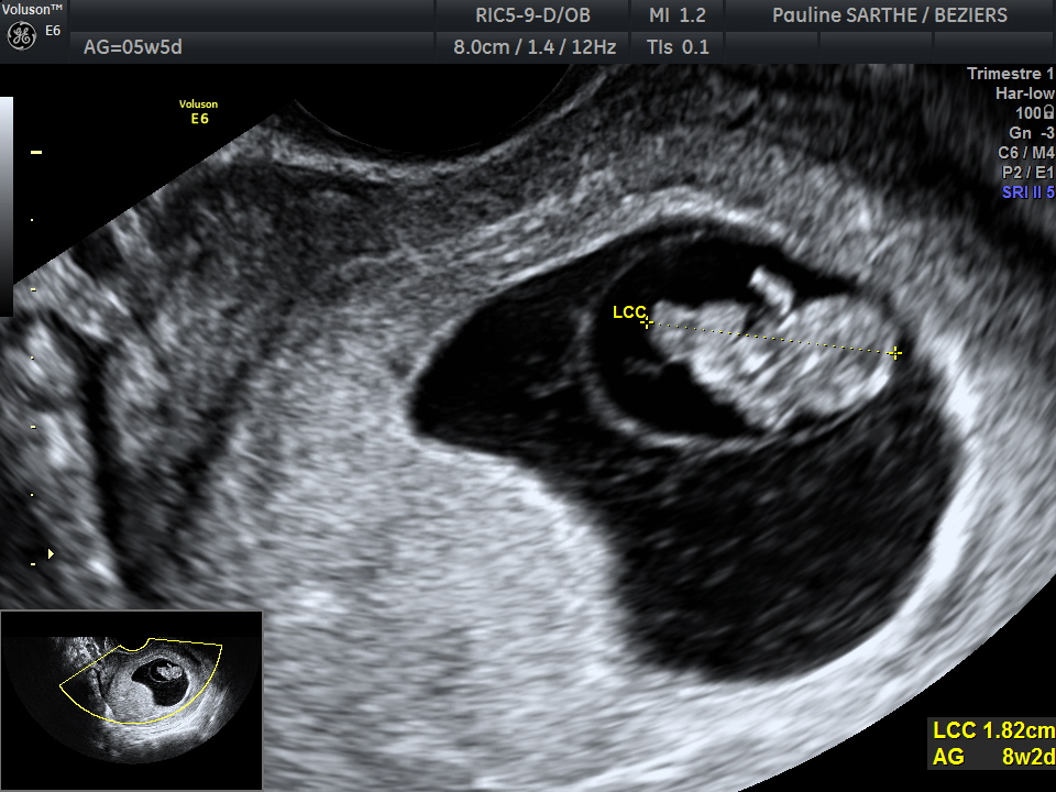
- l'échographie de datation permet de savoir très tôt si la grossesse est bien plaçée dans l'utérus et se déroule bien, s'il s'agit d'une grossesse simple ou géméllaire.
Elle n'est ni obligatoire ni systématique mais peut-être demandée entre 4,5 et 11 semaines d'aménorrhées si:
- vous avez des cycles irréguliers ne permettant pas de dater la grossesse avec précision
- vous avez des douleurs ou un saignement
- vous avez des antécédents pathologiques (fausse couche, grossesse extra-utérine)
- enfin en cas de Procréation Médicalement Assistée avec risque de grossesse gémellaire ou de grossesse multiple
-en cas de demande d'interruption de grossesse (prise en charge à 100% par la sécurité Sociale) REIVOC
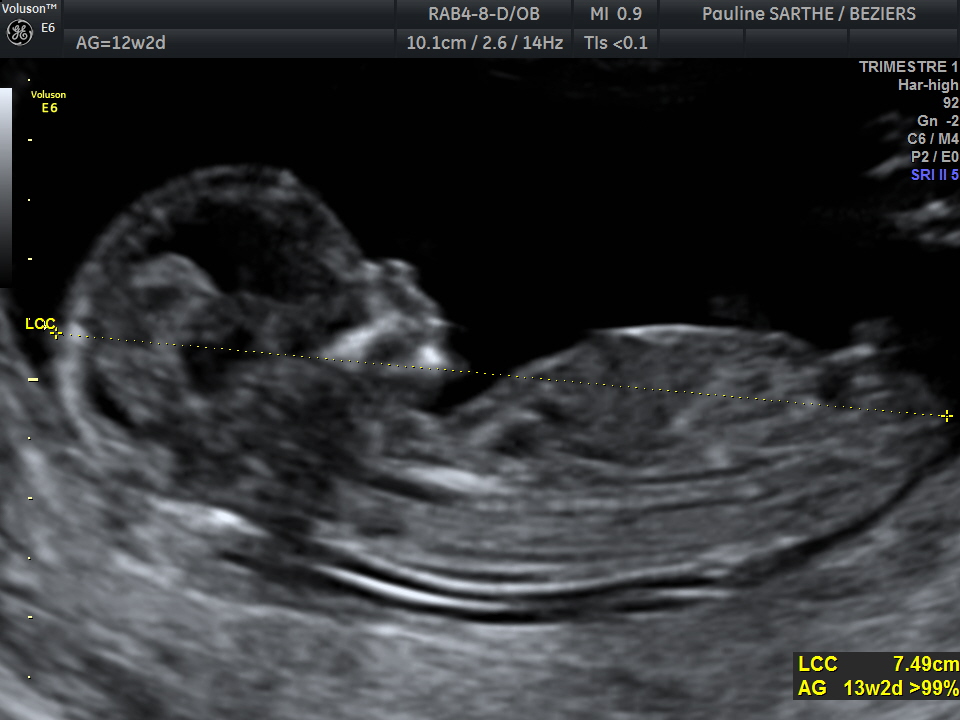
- l'échographie du premier trimestre , réalisée entre 11 et 13 semaines d'aménorrhées et 6 jours, permet de confirmer la date de début de grossesse et donc de votre accouchement, le nombre de foetus et d'effectuer un premier bilan morphologique. Vous pourrez voir votre bébé bouger et entendre son coeur : c'est un moment très émouvant!
L'examen comprendra enfin une mesure très précise sur le fœtus de profil, de la clarté nucale. Celle-ci, associée avec les prélèvements sanguins recommandés mais non obligatoires (Ht 21, PAPP-A) permettra au laboratoire de vous proposer un risque compte tenu de votre âge, pour le dépistage des trisomies 21,13 et 18.




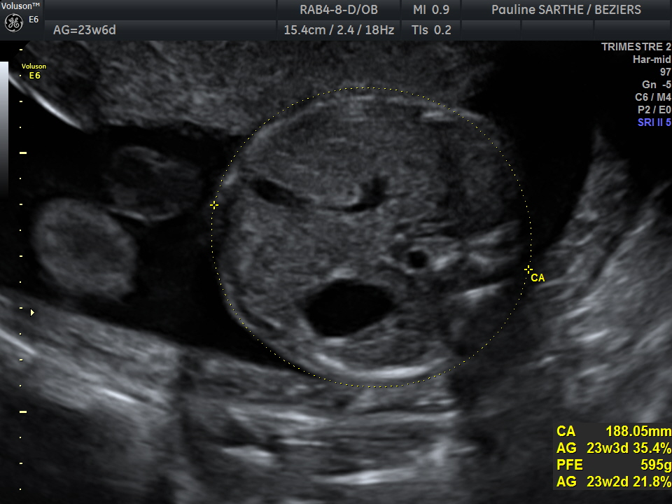
- l'échographie du 2 ème trimestre est réalisée entre 20 et 24 semaines d'aménorrhées (idéalement entre 21-23 semaines).Votre bébé a bien grandi et il est difficile de le visualiser en entier. C'est le moment idéal pour bien vérifier la vitalité de votre bébé à travers ses mouvements et le liquide amniotique , le bon développement de ses organes, sa croissance au travers des mesures de sa tête, de son périmètre abdominale et de son fémur qui permettront de donner une estimation de son poids ,et la localisation du placenta.
Parfois, si votre gynécologue ou votre sage-femme le demande , il peut être nécessaire d'effectuer une mesure du col. L’examen peut-être complété par des Dopplers analysant la bonne circulation du sang au niveau du cordon ombilical et des artères utérines.
Si la position du bébé le permet, une visualisation en 3D vous permettra d’avoir une première image de son visage.



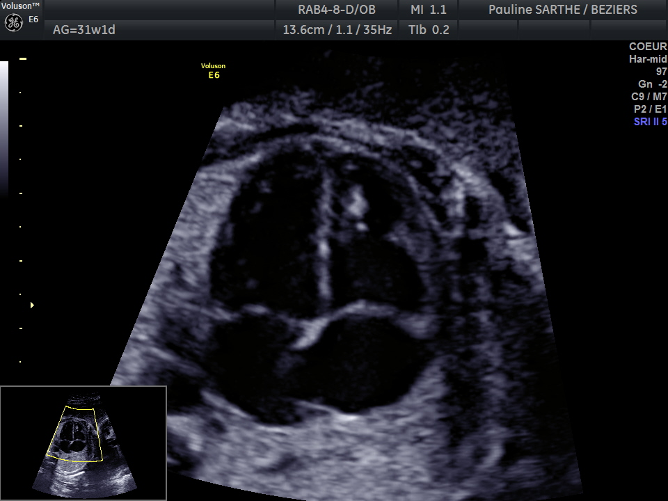
- l'échographie du 3 ème trimestre s'effectue de manière optimale entre 32 et 34 semaines d'aménorrhées.
Elle est importante pour s'assurer de la bonne croissance, de l'aspect des organes, de la position de votre bébé et du placenta à l'entrée dans le dernier trimestre.
- l'échographie pelvienne
permet d'explorer les organes et tissus de la cavité pelvienne de la femme comme : la vessie, l’utérus et son col, les ovaires, les trompes de Fallope, la paroi séreuse, la paroi muqueuse, l’endomètre, le myomètre ainsi que la vascularité utérine, ovarienne et annexielle.
Elle est réalisée par voie endo-vaginale (sonde adaptée introduite dans le vagin). C'est un examen indolore.
Cet examen peut-être demandé en cas de kystes ovariens, de fibromes, de douleurs abdominales , de troubles du cycle et des règles, de vérification de dispositif intra-utérin...
Elle doit être réalisée vessie vide.